Topic followed successfully
Go to BHkuSalah faham mengenai gigi susu
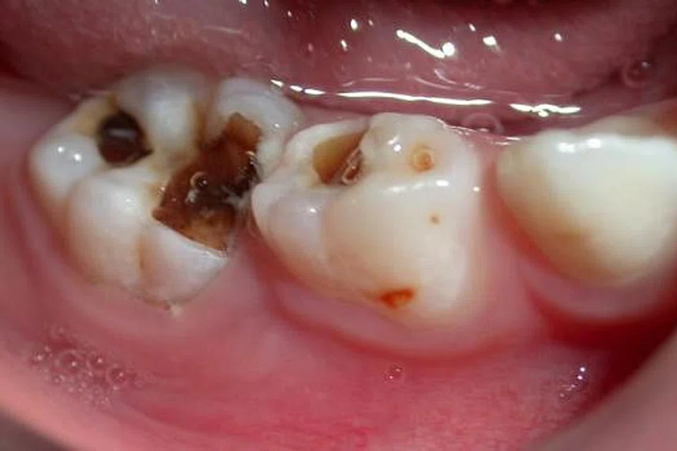
KESIHATAN gigi susu dan kebersihan mulut kanak-kanak sepatutnya menjadi antara keutamaan ibu bapa.
Sebabnya, gigi susu menyokong pertuturan anak, membolehkan mereka mengunyah makanan dan 'memperuntuk' ruang buat gigi dewasa tumbuh.

